前歯2本のインプラントを用いた審美用例
BEFORE

AFTER


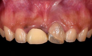
23歳女性/上1本欠損/インプラント埋込手術
【治療内容】
以前から前歯の色・形がコンプレックスだったということで来院されました。
左上前歯は根尖病巣があり抜歯しインプラントを提案、右上は被せ物のやり直しを提案させていただきました。
左上は抜歯し、骨造成を行いインプラント治療を行いました。右上は被せ物のやり直しを行いました。患者様は治療に非常に満足されており、人前でよく笑えるようになったとのことです。
【費用】
80万円
【治療期間】
6ヶ月
【治療におけるリスク・副作用】
炎症反応により腫れが生じることがあります。腫れの大きさは、手術範囲や方法により異なりますが、次第に腫れが引いてくることがほとんどです。