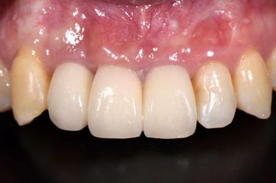
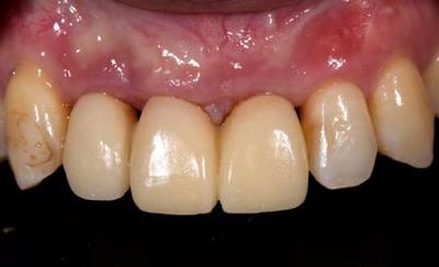
前歯3本欠損症例 2022.10.02 前歯3本欠損症例BEFOREAFTER46歳女性/上3本欠損/インプラント埋込手術 【治療内容】 前歯3本に根尖病巣があり抜歯し、インプラント治療を提案させていただきました。 抜歯後、骨造成を行いインプラント治療を行いました。 【費用】120万円 【治療期間】9ヶ月 【治療におけるリスク・副作用】炎症反応により腫れが生じることがあります。腫れの大きさは、手術範囲や方法により異なりますが、次第に腫れが引いてくることがほとんどです。 < 上顎前歯に抜歯即時インプラントを行った症例前歯2本のインプラントを用いた審美用例 > ブログ記事一覧をみる