上顎前歯に抜歯即時インプラントを行った症例
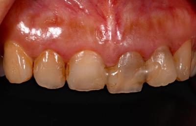
BEFORE



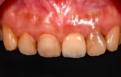
AFTER

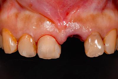
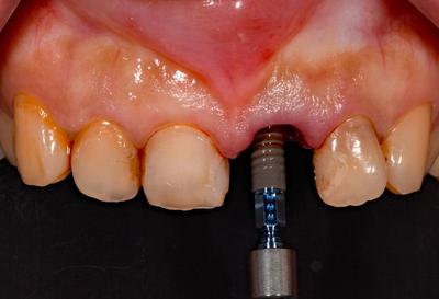
35歳女性/上1本欠損/インプラント埋込手術
【治療内容】
他院にて左上の前歯抜歯が必要だということで当院に来院されました。
左上前歯を抜歯し、同日にインプラントを埋入、被せ物まで装着行いました。患者様には前歯がない時間を作ることなく治療ができたことにより満足をしていただいています。
【費用】
80万円
【治療期間】
10ヶ月
【治療におけるリスク・副作用】
炎症反応により腫れが生じることがあります。腫れの大きさは、手術範囲や方法により異なりますが、次第に腫れが引いてくることがほとんどです。